This last week has been eventful, I’ve sat on my hand TWICE!! How?? What an idiot but thankfully no lasting damage and I had my splint on.
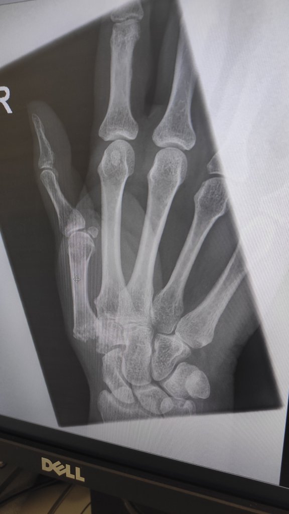
Splint wearing has become extremely sweaty and uncomfortable. So today’s appointment I’m hoping the x-ray will show its healed and I can progress to perhaps either a brace or nothing!!



I’m hoping they will have some more exercises for me too. Or is daily living enough movement for the hand. And I must ask if I can restart my Etoricoxib too, as I’ve been off it for 17 weeks, and this could be why my back and hips are extremely sore too.
Thankfully I think the Right Hand steroid is still working, though I had a definite blip in pain returning. But it’s settled down again somehow, even though I’ve used my walking stick more. So I’m extremely grateful it’s feeling ok.

Good news the bone is healing nicely, so the splint is no longer needed. Exercise wise I’m doing all I need to do. We had a discussion over the Right hand though, we had planned the exact same surgery for this side. However the bone stock isn’t there, and it’s far more complex as it involves more joints. They are thinking of a silicon implant and pin. And not do the middle finger at the same time as previously planned, as the thumb is complex enough without adding more.

Next appointment is Sept and by then the consultant will have had another meeting of colleagues to discuss the final plans for the right hand. Curse of Ehlers Danlos Syndrome isn’t it.
Leave a comment