I’ve longed for this day for a fair few months, I was last injected in the thumbs in October 2021. It had most definitely wore off by April 2022 but there has been a huge waiting list.
It’s weird I look forward to it, while absolutely dreading it at the same time. It hurts to be done, but I do love having that time afterwards, not needing to wear splints, gloves and use gel everyday. I should have see the Hand Surgeon by 6th July, but again there is a massive wait list so I bet it will be more like September as well. (Like my hip consultant at the same hospital)

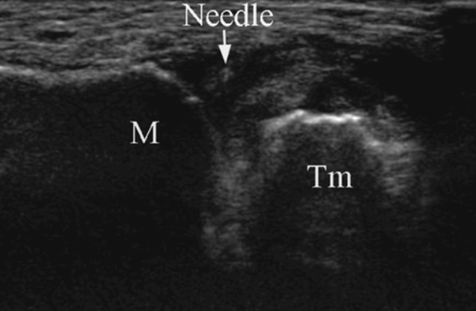
Unlike this picture above I have it done with an ultrasound, which helps guide the needle into the correct space. As the joint space between the bones now are exceedingly small, as arthritis has took over.

Let’s hope this lasts me around 5mths. Hoping for a winter surgery but as the nhs lists are getting long it may not happen before Christmas.
Nearly fainted with the left hand, joint seems extra narrow, and though we use depo now which is less liquid, you can still feel the bone space being filled and bones being pushed apart. Right hand the ultrasound shows the joint is gone, it’s jagged and somehow it’s easier to get the needle and liquid in. I waited for a few minutes lying down, to let the fainting feeling and sickness pass. Now home to rest.
Leave a comment